Meet Dr. Saggar Our Facility Service Spectrum The Lab Infection Control
Phone : (+91 161) 2421076...(+91) 9815555700
Your Problem Our Solution
 
 

 

 
 

Smile Designing

 
 


It is a concept of esthetics that takes into consideration the various scientific, technical, and artistic elements that are reproduced to achieve esthetic value in harmony with nature. You can improve your looks in a very short time and there is a easy way out. Now days the new generation composites and ceramic materials give the dentist the leverage to do wonders with your teeth.

 
     
 
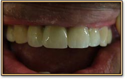
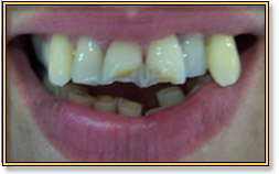
  Case 1  
 
 


 

 
 
   
Before     After


As is clearly visible in the above case the smile makeover has improved the smile and looks of this young patient dramatically. Metal Free Ceramic crowns were used to replace the Metal Ceramic Crowns

For more information and extreme makeovers click here
 

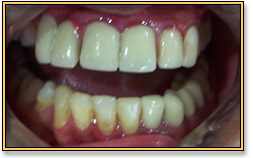
  Case 2  
       
       

   

Before

   

After

       

       

Beauty is a measure and symmetry and a virtue all over the world. As is clearly visible in this case. Extraction of an anterior tooth in the early childhood had severely damaged the composition of the upper arch. There was space closure and midline shift which is one of the most difficult situation to tackle. But following the esthetic principles, it was possible to dramatically alter the looks and confidence of the patient, as is visible in the photograph above.
 

       
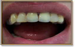
  Case 3  
       
       

   
Before     After


Natural Teeth can be reshaped according to the principles of esthetic to achieve a more harmonious and acceptable esthetics . Missing parts of the teeth can be replaced by crowns. Both techniques Have been used in the above case to optimum effect.
 

       
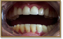
  Case 4  
       
       

   

       

At times we spoil our good looks due to our gross negligence. As is clearly visible in this case.

       
 
 

For more information and extreme makeovers click here

 












 
 
       
Home :: Meet Dr. Saggar :: Our Facility :: Service Spectrum :: The Lab :: Infection Control
Website Designing by Royalways Technologies