Meet Dr. Saggar Our Facility Service Spectrum The Lab Infection Control
Phone : (+91 161) 2421076...(+91) 9815555700
Service Spectrum
 
     
 

Tooth Whitening

 
     
 

Following an examination to determine if bleaching is appropriate treatment, a custom fitted tray is prepared after taking an impression of the patients upper and  lower teeth. We deliver  ( within one day ) the  appliance with a Colgate platinum bleaching gel  and instructions  to place gel in the tray and wear it overnight for one to two weeks. In some extreme cases you might need to wear it for more than 2 weeks.

 
     
 
   

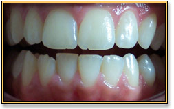
Before

   

After 5 Days

       
   

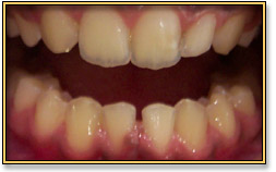
Before

   

After 7 Days

 
 

 

 
 

Results are good. Outcomes may vary due to the nature of the discoloration and the degree of patient compliance. Depending on personal habits, such as smoking and drinking coffee or tea , teeth whitening  procedures typically produce a desirable , often dramatic result that lasts many years. Teeth will tend to darken slightly over time. The effect lasts for around one to three years, although sometimes it can last longer. Some people find that their teeth are sensitive for the first few days after treatment, but this wears off after just a short while.

You  might  have  already  tried " do - it - yourself " at - home  teeth  whitening options which are generally  advertised with more  hype  than  substance .  Although these products use hydrogen peroxide preparations similar to those employed by dentists, in the absence of a dentist prepared custom fitted tray, at-home bleaching fails to keep the active agent directly on the teeth. Despite outlandish media claims, expectations are rarely fulfilled.

 
     












 
 
  << Index Service Spectrum

Next >>

   
Home :: Meet Dr. Saggar :: Our Facility :: Service Spectrum :: The Lab :: Infection Control
Website Designing by Royalways Technologies